慢性荨麻疹
急性荨麻疹
遇冷遇热过敏型
荨麻疹性血管炎
丘疹性荨麻疹
皮肤划痕荨麻疹
共振技术,将人体内异形波恢复为正常波形,从而使人体恢复正常。
特制传统中药药浴洗浴消肿止"邪,疏通皮肤经络,从根本上上脱敏。
药离子通过皮肤的渗透、转运、吸收,直达病灶对脾胃的毒副作用小、中药熏蒸绿色纯天然。
通过能量辐射作用于荨麻疹病灶,改变过敏体质调节机体恢复,避免口服西药激素及外用膏剂所导致毒副作用。
缓解日晒灼伤皮肤,而不伤害到皮肤,能美白皮肤、促进皮肤弹性。
大面积过敏或严重过敏最佳有效波长,非介入治疗,避免光敏医物所带来的副作用。德国MORA共振治疗系统
特配的中药药浴
中药药离子熏蒸
纳米微波治疗
红蓝光治疗
UVB治疗仪治疗
具体诊疗方案搭配需医生面诊检查后确定
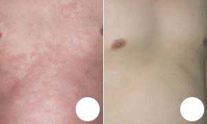
前 后
前 后
前 后
前 后
前 后
前 后

来自江西九江某棉纺厂的小张,突然发现身上起了一些红色肿块,而且有些发痒 <点击详情>

“一下子就发出来,全身都有红点,而且也没办法控制,一直用西药在控制。 <点击详情>

张女士是江西上饶人 2007年不幸患上荨麻疹,三年多来到处求医,采用过各种方 <点击详情>
精神紧张
抗原性药物
海鲜,蛋肉类食品
物理因素遗传因素
影响生活质量
诱发其他疾病
甚至危及生命
荨麻疹并不只是单纯的表面疾病,而是一种内因外显的皮肤疾病,所以治疗一定要到正规专科医院皮肤科进行诊治。
虽然目前不断有专治荨麻疹新药出现,但是适用不当会出现反复发作的情况。荨麻疹治疗不要盲目自行用药。
应根据患者病情具体情况谨慎选择使用,禁贪图短期效果,自行使用技术类,抗组胺类药物,使病情反复发作,恶性循环。
中山荨麻疹专家提醒您: 荨麻疹是一种皮肤病,请到正规皮肤病专科医院治疗,不当处理不仅伤害皮肤,严重者会诱发其他疾病,甚至危及生命安全。