中山祛痘,效果立竿见影


中西医祛痘的优势
排除毒素疏通毛孔
内外兼治从根源祛痘
杀菌消炎平衡内分泌
刺激皮肤生长平坑除印
紧致毛孔光滑肌肤
中西医分型祛痘
轻度痘痘
表现:以粉刺为主,有少量丘疹、脓疱,总皮损少于30%。
纠结度:偶尔察觉心里会难受!
适合人群:白头粉刺、黑头粉刺、丘疹型痘痘
治疗过程:
通过轻度痘痘治疗,解决由于毛囊口狭窄导致皮脂分泌过多、毛囊皮脂腺导管堵塞问题,使得皮肤表层毛囊壁恢复正常,正常排除皮脂腺。
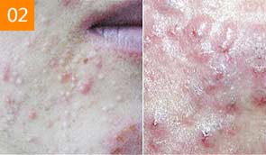
中度痘痘
表现:皮肤上有粉刺和中等量的丘疹、脓疱,总皮损约30%—50%。
纠结度:时不时用手触碰,恨不得把痘痘全挤爆!
适合人群:脓包型痘痘、结节型痘痘、痘印
治疗过程:
通过中度痘痘治疗,解决细菌感染和毛囊壁过度角化炎症反应等问题,阻止细菌繁殖和炎症进一步发展。
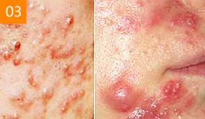
重度痘痘
表现:结节、囊肿性痘痘或聚合性痘痘属于此类痘痘,总皮损约90%以上。
纠结度:最怕照镜子 痴迷于各种祛痘秘籍
适合人群:囊肿型痘痘、聚合型痘痘、痘坑等
治疗过程:
通过重度痘痘治疗,解决毛囊壁破裂导致痤疮正常组织突变问题,抚平痤疮皮损。
青春痘是皮肤病的一种,请到正规皮肤病医院治疗,非皮肤病医院\科室的机构无资质开具药物,不当处理会留下永久性痘印、痘坑、痘疤.
中山知名祛痘团队
医师风采
相关文章阅读